Dental Implant Dentures: Case 4
Description
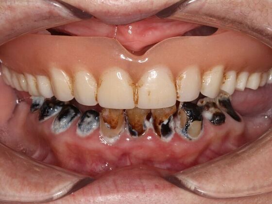
Upper Regular Denture with 2 Lower Implants and Snap in Denture (Overdenture)
Upper Regular Denture with 2 Lower Implants and Snap in Denture (Overdenture)
Triad Cosmetic Dentistry is an advanced office where we use state-of-the-art technology to provide the best care and rapid results. We are a comprehensive practice that offers a range of treatment options to enhance your smile. Our services include:
Request your consultation at our Archdale, NC, practice by clicking here or calling our office at (336) 434-3186.
