Dental Implant Dentures: Case 5
Description
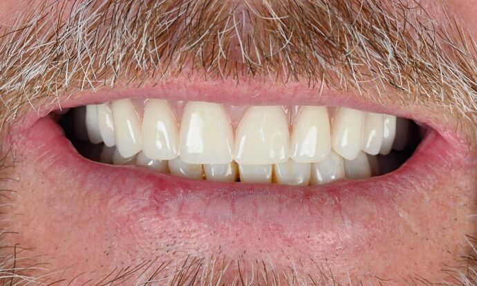
upper 5 implants with locators that snap in. Lower Partial
upper 5 implants with locators that snap in. Lower Partial
Triad Cosmetic Dentistry is an advanced office where we use state-of-the-art technology to provide the best care and rapid results. We are a comprehensive practice that offers a range of treatment options to enhance your smile. Our services include:
Request your consultation at our Archdale, NC, practice by clicking here or calling our office at (336) 434-3186.
