Meet Daniel Macdonald, DDS
A Caring Dentist Serving Archdale, NC
How Dr. Macdonald Got to Where He Is
"Dr. Dan travels the country to improve his knowledge base and provide his patients with consistently stunning results."
A Dentist and Family Man
Dr. Daniel Macdonald married his wife Melissa in May 2013. Today, they live in Greensboro with their two sons: Brody, born in September 2016, and Max, born in June 2019. When he's not at work, Dr. Dan enjoys sports, painting, spending time with his friends and family, and exploring new cities and trying new foods with his wife.

Specialty Areas
Dental Implants
During his fellowship program, Dr. Dan worked under some of the leading implant clinicians in the world, allowing him to accrue over 200 hours of training. To date, he has placed over 200 implants. He enjoys being able to watch his patients' smiles transform, whether he is providing them with a single tooth replacement or entire arches of teeth.
Our Complete Services
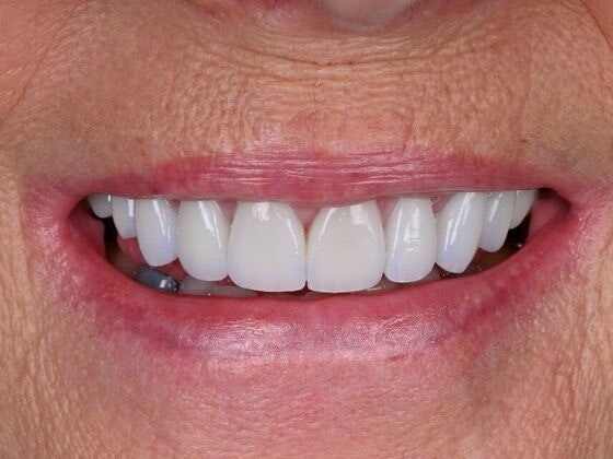
Cosmetic Dentistry
- Dental Bonding
- Porcelain Veneers
- Smile Makeover
- Teeth Whitening
General Dentistry
- Dental Checkups and Cleanings
- Dental Sealants
- Pediatric Care
- Sleep Apnea Treatment
- TMJ Treatment
Orthodontics
Periodontal Treatment
- LANAP®
- Periodontitis Treatment
- Scaling and Root Planing
Restorative Dentistry
- Bridges
- Crowns
- Dentures
- Dental Implants
- All-on-4® Dental Implants
- Bone Grafting
- Extraction Immediate Replacement
- Immediate Load
- Implant-Supported Dentures
- Permanent Bridge
- Root Canal Therapy
Archdale Loves Our Dentist "The absolute best dentist I’ve ever had."
Dr. Dan is the absolute best dentist I’ve ever had. Triad Cosmetic Dentist has a special place in my heart. I have feared the dentist my entire life until them. I look forward to seeing each of them every single appointment. The staff here are the most kind, welcoming and, loving group! Thanks to Dr. Dan, his sweet assistant Mandy and Jenny for all they have done for me❤️
View on GoogleI had a super pleasant and professional experience here. The front staff were all extremely helpful and kind, they answered all of my questions and were just overall extremely pleasant to work with. I had Dr. Dan as my dentist & him the staff that were working on me made me feel very comfortable and at ease after i had been nervous. If you’re looking for a new dentist i HIGHLY recommend this place!
View on Google





