Veneers
Are you looking for a solution to address cosmetic flaws like chips and cracks? Veneers are wafer-thin porcelain shells that are attached to the front surfaces of your teeth to conceal a vast array of teeth imperfections.
Since 2014, Archdale, NC, patients have come to Triad Cosmetic Dentistry to receive transformative veneers.
The Many Benefits of Porcelain Veneers
Natural Appearance
Our veneers are crafted from premium dental-grade porcelain. This material mimics natural enamel, giving veneers light-reflecting properties that make your new smile look natural.
Stain Resistance
The porcelain that we use to make our veneers is also extremely stain resistant. In fact, porcelain can stand up to stains even better than natural enamel.
Swift Results
Many patients opt to receive veneers to address cosmetic flaws instead of orthodontics because veneers provide a brand-new smile in just a matter of weeks rather than many months or even a year.

Veneers Conceal Many Cosmetic Issues
Archdale and Greensboro patients request dental veneers to address the following concerns and more:
- Unusually shaped teeth
- Minor tooth chips and/or cracks
- Tooth discoloration and intrinsic stains
- Slightly crooked teeth
- Small gaps between teeth
- Teeth that are worn down or naturally too small
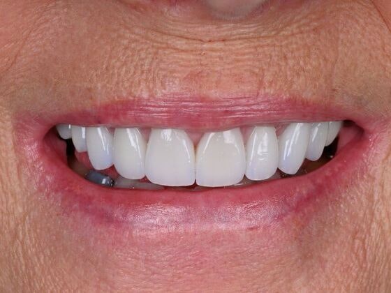
See an Archdale Dentistry Transformation
Transform Your Smile Request a Dental Veneers Consultation
When you come to our Archdale dental office, your treatment will be anything but cookie-cutter. We customize veneers for each individual to match their natural teeth and facial features for a stunning appearance. After your veneer placement, you will have a stunning one-of-a-kind smile that you can proudly showcase anywhere, anytime.
Every aspect of our office is designed with your comfort in mind, making the porcelain veneer process as seamless as possible. We offer state-of-the-art exam rooms and a welcoming staff led by first-rate dentists who have decades of experience. Contact us now for your free porcelain veneer consultation.

Archdale, NC, Dental Patients Leave Great Reviews
Great place for any kind of dental care, no long waiting, dr Whaley and all the associates who work with her seem to be very knowledgeable for any questions that we ( wife too ) have for them and really straight up on concerns or problems with our teeth, Great on options for repair or replacement too , Great all the way around
View on GoogleThis is by far the best Dentistry practice I have ever been to. The doctors, assistants, and even the receptionists are super friendly, non-judgmental, and so knowledgeable in their field of work. I could not reccomend this practice enough...I have been beyond pleased with this practice.
View on GoogleAn Ideal Veneers Candidate
Oral Health
It is important to have healthy teeth and gums before receiving any cosmetic procedure. Our dentists will conduct a thorough evaluation of each of these areas. If you do have oral health issues, we can provide periodontal treatment or other care to correct your oral health before veneers.
Enamel
Prior to placing veneers, our dentists must remove a small amount of enamel from each tooth that will be treated. If you do not have sufficient tooth enamel, you may not be able to receive veneers. You may be a better candidate for another treatment.
Expectations
We want every patient who comes to us to have a clear understanding of what exactly it is they are requesting. Veneers are purely cosmetic and won't improve your oral health. If you want to improve the functionality of one tooth or several teeth, you may need a restorative procedure or a combination of veneers with something like crowns.
Envision Your Veneers Placement
By improving the look of each tooth, veneers deliver a truly elevated smile.
Veneers Are an Incredibly Long-Lasting Investment
Our natural-looking porcelain veneers are designed to last for 15 years or longer with the right care. To maintain your veneers, it’s important to practice good oral hygiene by brushing at least twice a day and flossing daily. Make sure to attend biannual checkups and teeth cleanings so our Triad dentists can help you maintain healthy teeth and gums.
You should also avoid chewing on hard or sticky foods to prevent damaging your veneers.
Not a Candidate for Veneers? Bonding May Be an Option
Not everybody is an ideal candidate for veneers. Depending on your needs, we may recommend dental bonding, also referred to as composite resin veneers. However, while these two procedures share some similarities, they have key differences.
Bonding is the application of a tooth-colored resin. It is considered reversible because it does not involve the shaving down of enamel. It is also more affordable than veneers. That being said, the results of veneers are more noticeable, realistic, and longer-lasting. In fact, dental bonding typically lasts just half as long as porcelain veneers.
If desired, our dentists serving Archdale and Greensboro can discuss both options so you can make a confident decision. We will consider your goals, enamel, and budget when making recommendations.
More Great Reviews From Smiling Archdale, NC, Dental Patients
I am so happy I went to Triad Cosmetic Dentistry, from the front desk, the nurses and the Doctor made me feel so welcome. I didn't feel like a number or a stranger, I felt very comfortable and they really care. The Doctor took care of my problem and explained to me my options in a manner I could understand. Thank you for the great care!!! I highly recommend Triad Cosmetic Dentistry.
View on GoogleIf you are looking for the best dental office, Triad Cosmetic Dentistry is your place. My dentist, Daniel J. Macdonald and his staff treated me as family. They were very polite, explained all about the dental work I was getting done, and were as nice and sweet as someone can be. The office atmosphere is pleasant and everyone at the front desk was friendly and attentive to my needs. I am definitely calling them my new dental office.
View on Google


