Personalized Care
With a Dentist Committed
to the Patient Experience
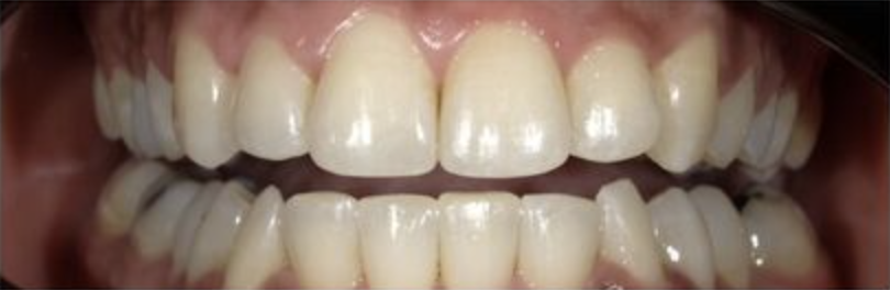
Results Like This Can Be Yours
Dr. Whaley's Education and Career
Apart from general and cosmetic dentistry treatments, Dr. Whaley provides patients in the Triad of North Carolina with advanced orthodontic and TMJ solutions.
Affiliations
A Dentist
and Devoted Mother
/
When she's not in our Archdale dental office, Dr. Tesha Whaley enjoys playing tennis, practicing yoga, and spending time with her family. She is devoted to her husband and boy-girl twins, Reece and Rylan, who were born in July 2011.
A Spotlight on Her Specialties
Orthodontics
Dr. Whaley provides patients with orthodontic treatment like Invisalign® to improve the alignment of the teeth and jaws. She has completed many continuing education courses in orthodontic and neuromuscular studies in West Virginia and at the Las Vegas Institute for Advanced Dental Studies.
Our Complete Services
Cosmetic Dentistry
- Dental Bonding
- Porcelain Veneers
- Smile Makeover
- Teeth Whitening
General Dentistry
- Dental Checkups and Cleanings
- Dental Sealants
- Pediatric Care
- Sleep Apnea Treatment
- TMJ Treatment
Orthodontics
Periodontal Treatment
- LANAP®
- Periodontitis Treatment
- Scaling and Root Planing
Restorative Dentistry
- Bridges
- Crowns
- Dentures
- Dental Implants
- All-on-4® Dental Implants
- Bone Grafting
- Extraction Immediate Replacement
- Immediate Load
- Implant-Supported Dentures
- Mini Dental Implants
- Permanent Bridge
- Root Canal Therapy
Patients Trust Dr. Whaley With Their Care "Dr. Whaley is one of the best."
As a relatively new patient of Dr.Whaley - but a patient who has spent many years in dental chairs- I can honestly say that Dr.Whaley is one of the best. She is thorough in her care, listens and explains procedures, but doesn’t waste time. The whole office works to get you in and out quickly and efficiently!
View on GoogleVery professional and courteous. Everything is explained as any process proceeds and if the patient has questions, they are answered. I would highly recommend Dr. Whaley and her team.
View on Google









