
IMPLANT-SUPPORTED DENTURES
Replace an Entire Arch of Teeth
With Implant-Supported Dentures
If you’re missing an entire arch of teeth, our team of Archdale dentists may recommend implant-supported dentures. As an alternative to traditional dentures, implant-supported dentures are firmly anchored into your jaw to support prosthetic teeth and provide patients with a stable, long-lasting restoration.
We know replacing lost teeth can be daunting with the many dental implant solutions available today. At Triad Cosmetic Dentistry, Dr. Macdonald and the rest of our team will work with you and discuss the best options for your unique oral health needs. We want you to achieve a beautiful, healthy smile in which you can feel confident.
Schedule your consultation today by calling our Archdale, NC office at (336) 434-3186.
This video shows you how a removable overdenture can replace missing teeth using dental implants with special fittings that snap the denture in place within the mouth. Our Triad Cosmetic Dentistry dentists will walk you through the implant-supported dentures process step by step and help you achieve a complete smile.
What Are Implant-Supported Dentures?
Implant-supported dentures are a type of overdenture that replaces multiple teeth at once. Our denture sets are personally designed to look like natural teeth and are securely placed with four dental implants to provide a comfortable and stable fit. This permanent restoration allows patients to live their lives with fewer food restrictions than dentures and never worry about them slipping or sliding around the mouth.
BENEFITS OF
Implant Dentures
The team at Triad Cosmetic Dentistry provides various tooth replacement services to cater to each individual’s needs and goals. Depending on the option you choose, our implant dentures can be either fixed or removable.
Both treatments provide patients with the same health and smile benefits, including:
- Look and feel like your natural teeth
- No more sliding or shifting from traditional dentures
- Enjoy all your favorite foods again
- Speak with confidence and ease
- Stimulates healthy bone growth
- Quick and easy procedure
- More customized, comfortable fit
Your Implant Denture Options
1
Snap-In Dentures
Snap-in dentures are a cost-effective restoration for patients missing an entire set of teeth and who want to improve the durability, comfort, and appearance of their prostheses. For a lower arch, two implants help retain the denture, and the upper arch requires at least four implants because of its softer tissue.
The implants will hold a metal attachment that fits onto another attachment on the snap-in denture. The attachments on the implants are ball-shaped and fit into the sockets of the denture, allowing for a secure, stable fit.
2
Fixed Hybrid Dentures
Fixed hybrid dentures use two to five implants. They’re placed in the lower or upper jaw and permanently affixed using a thin, metal bar that aligns with the curve of your jaw. Using fixed attachments, the bar is positioned into the acrylic part of your denture, helping to stabilize the implants.
1
U-Shaped Palateless Dentures
Typically, a traditional denture prosthesis made for the upper jaw has a big, gum-colored acrylic that naturally suctions to the roof of your mouth. Some patients prefer not to have their entire palate covered with a denture because it can hinder their sense of taste.
With a U-Shaped palateless denture, we can place five to six implants along your upper jawbone to eliminate the need for a complete palate. This type of implant denture is great if you have a severe gag reflex or want to improve your comfort and sense of taste.
2
All-On-4
Did you ever think you could restore an entire arch of teeth in just one day? Thanks to All-On-4, you can. After we’ve fabricated your customized denture, you’ll come in for your implant procedure. At this appointment, we’ll insert four implants in the upper or lower jaw, and your new removable or permanent denture is placed the same day.
The Implant-Supported Dentures Process
You’ll begin your journey to a complete smile with an initial consultation at Triad Cosmetic Dentistry. One of our Archdale dentists will examine your oral health and discuss your smile goals to ensure you get perfect treatment. Once it’s decided that implant-supported dentures are the best restoration, we’ll schedule your next appointment.
The first step is implant placement. We’ll administer a local anesthetic to ensure you don’t feel any pain during the procedure. Your dentist will strategically place your dental implants into the jawbone. The healing process will take anywhere from three to six months, during which your implants will naturally fuse with your bone. It allows your implants to become a strong anchor for your dentures.
When your mouth has fully healed, you’ll return to our Archdale office to have your restoration placed. Your dentures are customized for you, so your dentist can make any adjustments if needed before securing your restoration in place. Once your dentures are secure, you’ll leave our office with a stunning new healthy smile.

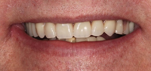
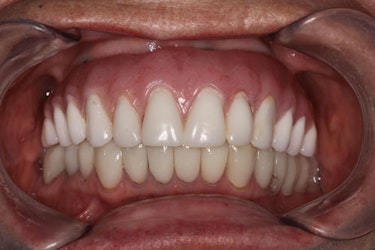
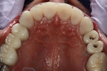
Triad Cosmetic Dentistry Cases — Implant-Supported Dentures






Frequently Asked Questions
Am I a candidate for implant-supported dentures?
The best candidates for implant-supported dentures are patients who have one or more missing teeth, have good overall oral health, and have sufficient bone density. Even though these are requirements going into the surgery, we can help you get there with procedures such as a bone graft to improve bone density or scaling and root planing to improve gum health.
If you’re interested in completing your smile, we have several options for you. Schedule a consultation with one of our knowledgeable dentists by calling (336) 434-3186. During the consultation, we’ll examine your oral health and discuss your options.
How do I care for my implant dentures?
It’s important to take great care of your implant dentures to maximize their longevity and maintain excellent oral health. If your dentures are fixed in place, only your dentist can remove them. Your at-home oral hygiene care should consist of:
- Brush your dentures twice a day
- Use a non-abrasive toothpaste
- Rinse with an antibacterial mouthwash once or twice a day
- Brush and floss any natural teeth twice a day
- Visit our Archdale dentists twice a year for regular dental cleanings and checkups
If you have any questions about caring for implant-supported dentures, please contact our office at (336) 434-3186.
Schedule a Visit With Our Archdale Dentists
Let our team of Archdale dentists transform your smile and provide the best dental care in the Triad of North Carolina. If you’re ready to complete your smile and achieve newfound confidence, schedule your appointment at Triad Cosmetic Dentistry. Call our dental office (336) 434-3186 today, or fill out a contact form.
We’ve helped countless patients achieve their dream smiles all around the Triad, including Greensboro, High Point, Winston-Salem, and more.

